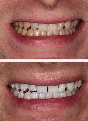
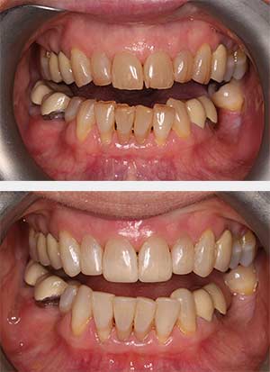
Safe, Professional Teeth Whitening Treatments to Brighten Your Smile and Boost Your Confidence.
A brighter smile can make all the difference to your confidence—and at Hartley Dental, we make teeth whitening simple, safe, and effective.
Did you know that genuine teeth whitening can only be legally prescribed by a qualified dental professional, such as a dentist? That’s why we provide expert care and personalised treatment plans to help you achieve a whiter smile you’ll love.
With our convenient, at-home whitening kits, you can brighten your teeth at your own pace while benefiting from the reassurance of professional oversight every step of the way.




Brighten your smile safely and effectively with our professional teeth whitening treatments. Designed for convenience and lasting results, our personalised approach helps you achieve a whiter, more confident smile at your own pace.
Begin your journey with our free virtual consultation. Share your goals, upload photos of your teeth, and let Dr. Simon Poyner review your case. He’ll provide initial feedback and recommendations tailored to your needs.
If needed, Simon may invite you to a 15-minute video consultation. This is a great chance to review your virtual report, ask questions, and discuss your whitening options in more detail.
Next, we’ll schedule a face-to-face consultation where Dr. Simon Poyner will assess your suitability, prescribe the treatment, and take digital scans of your teeth. A deposit is required when booking, with the balance payable at your appointment.
Your bespoke whitening kit will be ready within 10–14 days. We’ll invite you back for a 15-minute demo appointment to show you how to safely apply the whitening gel and achieve the best results. A review appointment will be arranged on completion of the whitening procedure to assess your results and see the ‘before and afters
Keeping your teeth bright and beautiful is easy with regular care and occasional top-ups. We offer top-up whitening gels available directly from the practice, so you can refresh your smile whenever you need to.
How often you’ll need a top-up depends on your lifestyle and habits, such as enjoying coffee, red wine, or other foods that may stain teeth. Regular touch-ups, combined with good oral hygiene, can help you maintain lasting results.
Our team is always here to offer advice and support to keep your smile looking its best for years to come.
We’re extremely proud of our five star rating. Read what our happy patients have to say about Hartley Dental
EXCELLENT Based on 139 reviews Abbey Mole18 November 2024Trustindex verifies that the original source of the review is Google. Such kind and caring staff, felt so at ease and informed. Sean Whittle23 October 2024Trustindex verifies that the original source of the review is Google. I've only been with Hartley Dental for a few months, but all the team have been exceptional. I came to them as a pretty extreme case, and have undergone several procedures, all have been carried out perfectly, I've been made to feel comfortable and included, and the recovery has been really easy. Its less than 48hrs since I had 8 teeth extracted and a denture fitted, and there's nearly no pain or discomfort at all, which is testiment to the skill of Dr Dimple. I have complete confidence in them and wouldn't hesitate to recommend them to anyone. Alice England-Hewitt14 October 2024Trustindex verifies that the original source of the review is Google. Simon, Dean and all the staff are so friendly! I have been going to Hartley dental for a number of years now and I’m confident that they have my best interests at heart. They are brilliant with my little boy too - he loves the dentist so much he wants them to come and have dinner with us 🥰 Jax D11 October 2024Trustindex verifies that the original source of the review is Google. Fabulous team at Hartley dental, very responsive when needing emergency treatment but also very accommodating for regular treatments. Treatments have always been painless for me. Highly recommend Julie Soane8 October 2024Trustindex verifies that the original source of the review is Google. Had a difficult filling and Dean did an excellent job. Debbie Cass6 August 2024Trustindex verifies that the original source of the review is Google. Recently had 2 wisdom teeth removed by Dimple. I was absolutely dreading it but I need not have worried, as it was pain-free and the whole team could not have been any kinder or patient with me. Thank you! Jane McEwen3 July 2024Trustindex verifies that the original source of the review is Google. The whole team at Hartley make every visit so lovely . Nothing is too much trouble , they care so much for their patients . Cannot recommend them enough 😍 Lee Winters16 May 2024Trustindex verifies that the original source of the review is Google. Very friendly and helpful. Made me feel at ease as soon as I walked in the door. 10/10 . Susan Irving4 April 2024Trustindex verifies that the original source of the review is Google. Very kind considerate and thoroughVerified by TrustindexTrustindex verified badge is the Universal Symbol of Trust. Only the greatest companies can get the verified badge who has a review score above 4.5, based on customer reviews over the past 12 months. Read more
Hartley Dental is a leading private dentist in Plymouth, providing expert care and personalised treatments to help you maintain a healthy, confident smile.
Copyright | Hartley Dental. All Right Reserved.
Website by Blue Sky Web Design Plymouth